Laboratoire
La médecine et la chirurgie des animaux peuvent passer par de nombreux examens complémentaires afin d'affiner les diagnostics. La clinique est équipée de plusieurs équipements qui nous permettent de faire ces examens au pied de nos patients ce qui nous permet un gain de temps dans la prise en charge de vos compagnons.
Les analyses sanguines
Différents matériels de laboratoire équipent la clinique afin de réaliser des examens complémentaires sur place. Les résultats sont obtenus en 15 à 30 minutes en fonction de l'analyse effectuée à partir d'une prise de sang.
- Un analyseur de numération formule sanguine permet d'obtenir le comptage des globules rouges, des globules blancs et des plaquettes.
- Un analyseur de biochimie sanguine permet de vérifier le fonctionnement des différents organes comme le rein ou le foie à partir de plaquettes mono paramètres (glycémie, créatinine, urée, transaminases...).
- Un analyseur d'hormonologie permet le suivi de gestation chez la chienne ou de grands syndromes endocriniens (thyroïde, Cushing).
- Un analyseur PCR permet la recherche d'ADN viral ou bactérien ou parasitaire (piroplasmose, complexe coryza félin).
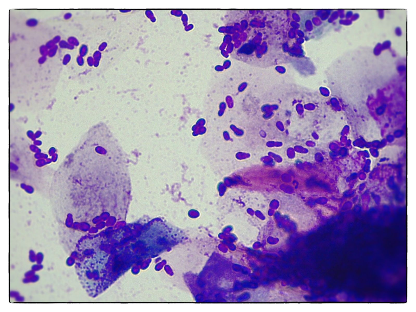
Les analyses microscopiques
Un microscope binoculaire occupe une place importante au sein de notre laboratoire. Il est directement relié à un écran d'ordinateur ce qui permet de visualiser sur grand écran et d'archiver nos lames d'examen. En fonction de l'examen, les lames peuvent être colorées par bains successifs.
- Lames en dermatologie (peau et oreilles)
- Lames en pathologies urinaires (cellules, cristaux)
- Lames en reproduction (suivi de chaleurs, spermogramme, infections génitales diverses)
- Lames en hématologie (parasitisme sanguin, cellules anormales)
Les tests rapides
Les tests rapides se réalisent en quelques minutes à la clinique sur prélèvement de sang ou de selles pour des recherches virales, bactériennes ou parasitaires (parvovirose, giardiose, typhus du chat, FeLV, FIV...)










