Reproduction
Passionnés de reproduction canine, les Dr Hubans-Belkilani et Belkilani ont suivi et suivent encore des formations sur le sujet.
Du suivi de chaleur jusqu'au départ des chiots, ils vous accompagnent avec un regard professionnel et bienveillant.
Vous souhaitez faire reproduire votre chienne ?
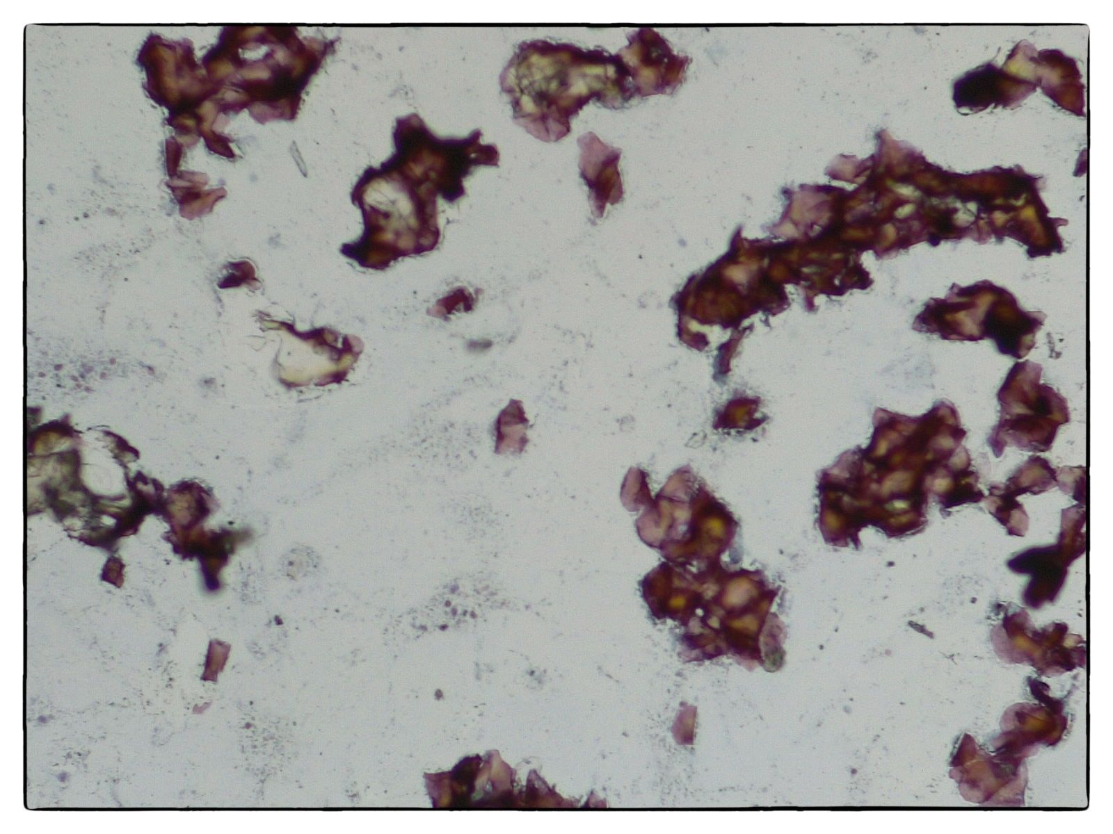
- Suivis de chaleurs sur les chiennes afin d'optimiser les chances de réussite lorsqu'une gestation est désirée; afin de cibler le meilleur moment pour une saillie naturelle ou pour une insémination artificielle (semence fraîche avec réalisation d'un spermogramme). Ces suivis de chaleurs comportent des frottis vaginaux (examen des cellules au microscope) et des dosages quantitatifs de progestérone (réalisés à la clinique)
- Confirmation puis surveillance du bon déroulement de la gestation grâce aux examens échographiques.
- Radiographie numérique en fin de gestation pour faire un bilan avant la mise-bas et la préparer de façon idéale.
- Césarienne en urgence.
- Programmation de césarienne en cas de risque grâce au dosages quantitatifs de la progestérone (réalisés à la clinique).
Une pathologie de l'appareil génital ?
- Si votre animal n'arrive pas à procréer (infertilité apparente, chaleurs anormales, avortements), recherche des solutions pour y remédier, notamment via des analyses médicales ciblées (spermogrammes, frottis, écouvillons, dosages hormonaux, analyses par laboratoire extérieur, échographies, ...).
- Accompagnement si :
- votre femelle présente une vaginite, une mammite, une métrite, un pyomètre ou encore des tumeurs mammaires.
- votre mâle est touché par un problème prostatique (kyste, abcès, tumeur, ...) ou testiculaire (ectopie, orchite, épididymite, tumeur testiculaire, ...).




