Imagerie
L'imagerie reste un examen complémentaire de choix en médecine vétérinaire. De nouvelles techniques se sont développées comme le Scanner ou l'IRM que l'on peut dorénavant retrouver dans des Centres Hospitaliers Vétérinaires. Cependant, la radiologie ainsi que l'échographie demeurent des examens de première intention qui permettent de diagnostiquer un certain nombre de pathologies le jour de la consultation si nécessaire.
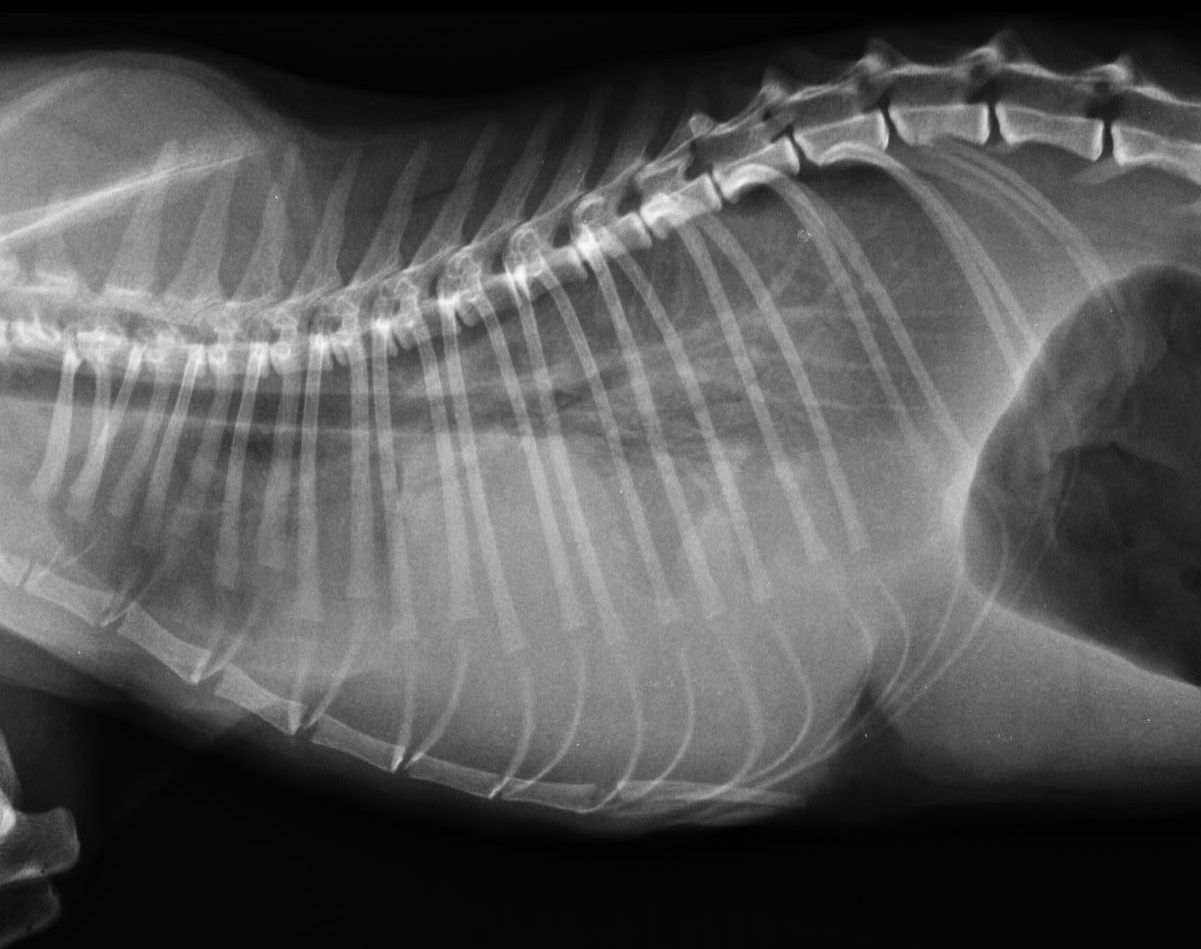
La radiologie
La clinique est équipée d'un générateur radio ainsi que d'un développement numérique. Ce type de développement est rapide, sans utilisation de produits chimiques et permet d'obtenir les images sur un écran d'ordinateur. La définition des radios est ainsi meilleure. Nous pouvons aussi facilement vous faire parvenir les radios de votre animal ou les transférer à un confrère le cas échéant par mail.
- Radios classiques
- Radios avec produit de contraste
- Radios officielles de dysplasie des hanches ou du coude avec anesthésie
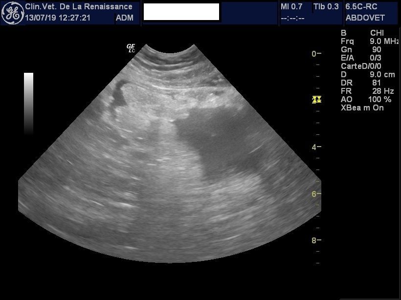
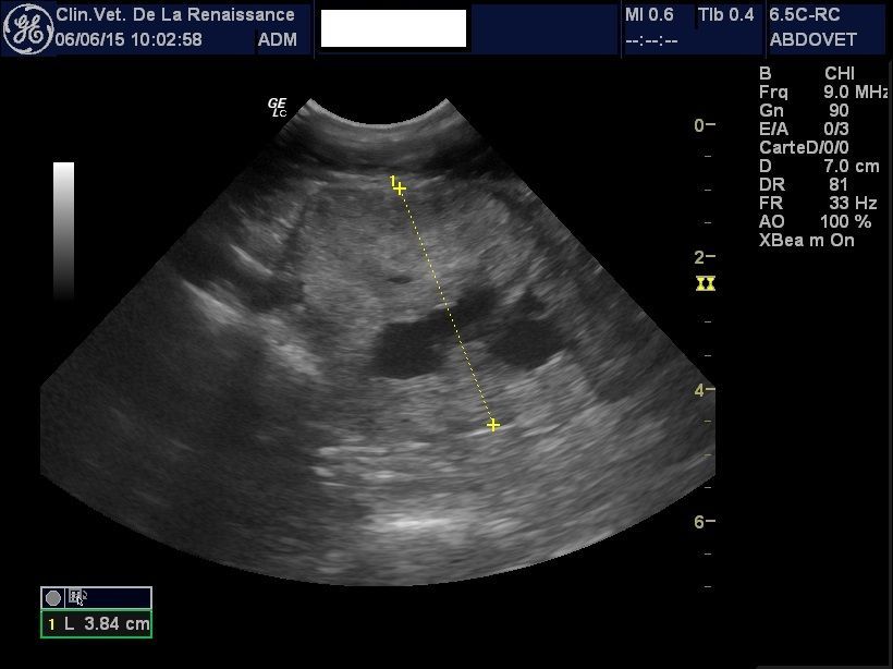
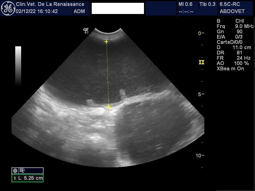
L'échographie
La clinique est équipée d'un échographe pour l'exploration de la cavité abdominale et de ses organes. Nous pouvons réaliser une échographie ciblée sur un organe ou sur l'ensemble des organes abdominaux, dans le cadre d'un diagnostic ou le suivi d'une pathologie ou d'une gestation. Un doppler permet dans le cadre de la gestation de mesurer la fréquence cardiaque des chiots. L'échographie peut être réalisée avec ou sans anesthésie générale en fonction de l'animal.
















